爱吃螃蟹、小龙虾,小伙肺里长满打洞的小虫子

   2020-04-26 网友投稿4860
核心提示:现代快报讯(记者 孙旭晖)最近,宿迁市人民医院感染科收治了一例特殊的患者,这个小伙从 5 个月前开始,出现胸闷、咳嗽、咳痰等症状。现代快报记者了解到,医生在反复诊断后发现,患者的肺部长满了细小的

现代快报讯(记者 孙旭晖)最近,宿迁市人民医院感染科收治了一例特殊的患者,这个小伙从 5 个月前开始,出现胸闷、咳嗽、咳痰等症状。现代快报记者了解到,医生在反复诊断后发现,患者的肺部长满了细小的肺吸虫,恐怖的是,这些小虫一旦进入人体,就会在人体的器官中到处乱钻、"打洞"。

△医院专家为患者检查

"今年 2 月份,在上海某医院就诊时,被诊断为‘肺结核’‘结核性胸膜炎’。"患者小飞(化名)介绍,由于他当时出现的病症的确与"肺结核"的反应很相似,所以并没有多想,但是在经过抗痨治疗后,病情未见好转。

后来,小飞到宿迁市人民医院的感染科就诊。"入院后,追问患者病史,得知该患者曾有生食蛇胆史,平时喜欢吃田螺、河蚌、小龙虾、螃蟹等水产品。"医生介绍,肺吸虫病是由并殖吸虫感染引起的一种寄生虫病,主要因生食或半生食含并殖吸虫囊蚴的溪蟹、蜊蛄(大头虾)、螃蟹、小龙虾等而感染。

此外,据医院介绍,肺吸虫病具有很强的地方性,宿迁地区既往从无肺吸虫病患。但结合该患者的临床症状及辅助检查,经唿吸与危重症科主任施斌及感染科多位专家会诊,结合肺吸虫 IgG 抗体检测,提示检测结果为阳性,最终诊断为肺吸虫病。随后,宿迁市疾控中心确定,小飞为宿迁地区首例肺吸虫病。

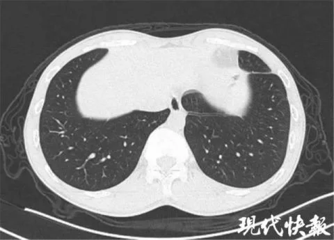
△肺吸虫患者典型的"隧道征"

现代快报记者了解到,肺吸虫病的致病作用主要是由童虫、成虫在组织器官中移行、窜行、定居及分泌物、代谢产物所引起,可累及肝脏、肺、胸、腔、眼、脑、皮下组织等多个组织、器官。换句话说,这些小虫一旦进入人体后,就会在组织器官中到处乱钻,并产生分泌物、代谢产物,时间长了以后,甚至能在肺部钻出一个个"隧道",形成肺纤维化。再加上这种疾病的临床表现复杂多样,缺乏特异性,极易造成误诊,更是增加了诊断的难度。

医生提醒,当人们吃进生的或未熟的螃蟹、蝲蛄、溪蟹、小龙虾后,肺吸虫幼虫会在肺内发育成熟、产卵。肺吸虫囊蚴在 70 ℃的水中煮 3 分钟或在 100 ℃的水中煮 1 分钟即可被杀死,因此,建议将淡水蟹或蝲蛄煮熟煮透后再吃。(医院供图)

 
举报收藏 0打赏 0评论 0
 
更多>同类行业资讯
  • 站长
    加关注0
  • 没有留下签名~~
推荐图文
推荐行业资讯
点击排行
网站首页  |  加入我们  |  公司发展史  |  未来愿景  |  联系我们  |  关于我们  |  技术与支持  |  商业解决方案  |  信息咨询  |  网络营销  |  发布商机  |  网站地图  |  排名推广  |  广告服务  |  RSS订阅  |  违规举报  |  渝ICP备2022001431号
Powered By DESTOON